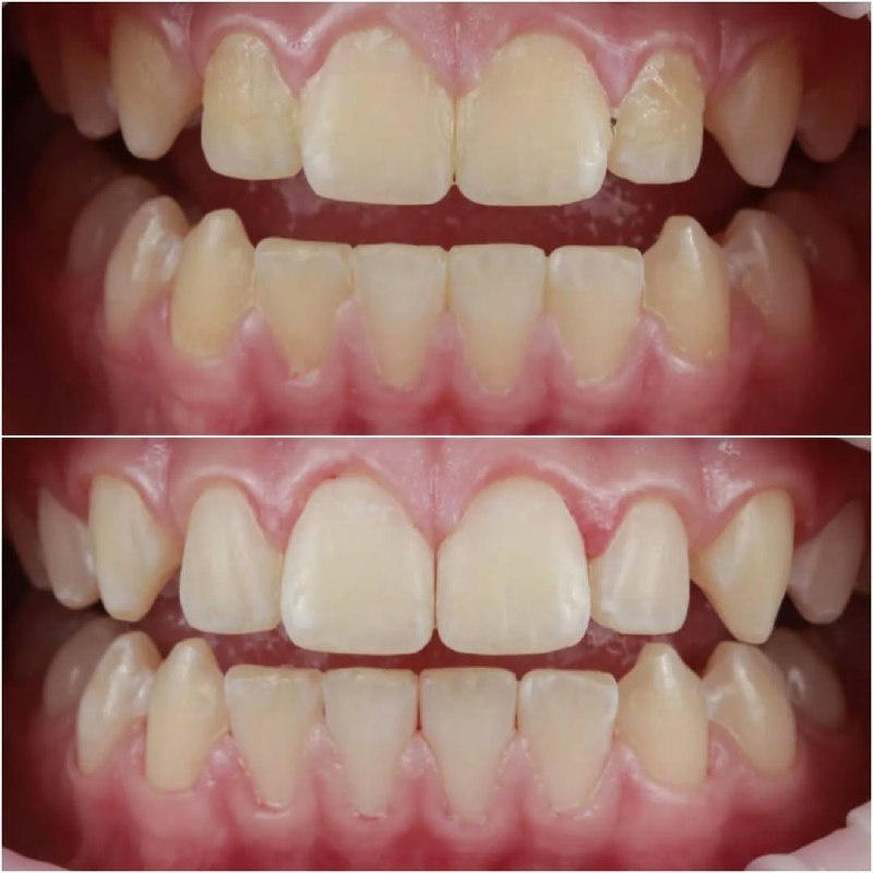
Мягкий зубной налет, который может легко остаться незамеченным, представляет собой не только косметическую, но и серьезную угрозу для здоровья ротовой полости. В отличие от зубного камня, который заметен невооруженным глазом, мягкий налет скрыт от внимания, но это не делает его менее опасным.
Опасности, скрывающиеся в налете
Этот налет содержит огромное количество патогенных микроорганизмов, способных вызывать разрушение зубной эмали. Эти микробы производят кислоты, негативно влияющие на эмаль, в результате чего начинается процесс деминерализации, который приводит к образованию кариеса.
Как защитить свои зубы
Чтобы предотвратить негативные последствия, важно уделять внимание ежедневной гигиене полости рта. Вот несколько привычек, которые помогут сохранить здоровье зубов:
- Регулярная чистка зубов дважды в день;
- Использование зубной нити для удаления остатков пищи;
- Применение ополаскивателей для дополнительной защиты.
Профессиональная помощь
Кроме самостоятельно ухода, также стоит подумать о визите к стоматологу-гигиенисту. Специалист предоставляет профессиональную чистку и поможет разработать индивидуальные рекомендации по терапевтическому и профилактическому уходу за зубами. Он подберет подходящие средства и методы, учитывая анатомические особенности зубного ряда, сообщает Дзен-канал "Иннова Клиник".




























